Correlation Between Demographic Features and PD-L2 Expression in Mucoepidermoid Carcinoma of Salivary Glands
OBJECTIVE: This study was conducted to determine PD-L2 expression and its association with grading in patients with mucoepidermoid carcinoma.
METHODOLOGY: This descriptive study was conducted over a period of 1 year after taking approval from Institutional Ethical Review board. A total of twenty-four cases of MEC were recruited from different tertiary health care hospitals in Lahore and Multan. Data consisting of demographics and clinical features was collected. Histopathological analysis was done according to Seethala's grading system. Immunohistochemistry (IHC) was performed to observe PD-L2 expression. Data was analyzed by using SPSS 25.
RESULTS: The mean age was 30.08±12.8 years and there were 41.7% males and 58.3% females. Most common site of involvement was found to be parotid gland. A total of (54.2%) cases were of low grade. Strong PD-L2 expression was observed in 12(50%) cases while in 5(21%) cases there was week expression. No significant association of PD-L2 expression with grade of tumor was observed.
CONCLUSION: Among salivary gland tumors, Mucoepidermoid carcinoma is emerging as most frequently diagnosed malignancy. These tumors originate mainly from parotid glands usually during fourth decade of life. As preliminary data generated from current research has highlighted the expression of PD-L2 in malignant MEC. The expression of PD-L2 was observed in all of the tissue specimens in the current study as detected through IHC irrespective of the grade of the tumor.
KEYWORDS: Programmed cell Death 1 Ligand 2 (PD-L2), Mucoepidermoid Carcinoma (MEC), ImmunohistoChemistry (IHC).
HOW TO CITE: Zafar I, Anjum R, Chaudhry S. Correlation between demographic features and PD-L2 expression in mucoepidermoid carcinoma of salivary glands. J Pak Dent Assoc 2023;32(3):74-78.
DOI: https://doi.org/10.25301/JPDA.323.74
Received: 10 August 2023, Accepted: 26 December 2023
INTRODUCTION:
Mucoepidermoid carcinoma (MEC) is the second common malignant tumor of salivary gland with incidence rate of 24.4% globally. 1 In Pakistan, it is 50% of all malignant salivary gland tumors (SGTs) with an incidence rate of 2.87%. It mainly occurs in 2nd to 4th decade of life as painless, slow growing mass that is fixed or firm lesion attaining size less than 4 cm with smooth to rounded, irregular, elevated, non-ulcerated margins. The exact etiology is still unknown but MEC may occur due to genetic mutation or chromosomal translocation. Males have four times more risk to develop this tumor as compared to females.
Parlous clinical features, aggressive nature or worst prognosis of this tumor needs an early diagnosis. For histologic diagnosis, cytology or biopsy is performed for screening purposes, as SGTs are heterogeneous tumors having intense overlapping in clinical and microscopic features among many tumors so there is need of other diagnostic alternates for confirmation of diagnosis.
Modern science has developed a new treatment modality of immunotherapy by blocking the immune check points by using the immune check point inhibitors as anticancer agents. In renal cell carcinoma, checkpoint blockade therapy is used to improve prognosis and as future therapy against carcinoma. 7 PD-L2 also known as B7-DC (CD273) is an important PD-1 ligand, and plays a role in regulating tumor immunity.
MEC is the most common malignant salivary gland tumors in Pakistan and associated with poor prognosis. So, there is a need to improve the prognosis for such deleterious tumor. The emergence of ICIs in the field of immune therapy might be helpful in reducing the burden and improving the quality of life by making prognosis better. Hence, the rationale of current study was to evaluate the expression of PD-L2 in MEC patients in the local population of Pakistan in order to use this marker for prognostic as well as potentially in therapeutics.
METHODOLOGY:
This descriptive cross-sectional study was conducted in the Department of Oral Pathology and Morbid Anatomy and Histopathology, University of Health Sciences, Lahore, Pakistan from January 2019 to June 2019. Both males and females of any age with first time diagnosed MEC from different tertiary health care hospitals of Lahore were included, while patients with recurrent tumor and other co-morbid conditions were excluded. Demographic data including age, gender, site of involvement was noted. Histopathological grading was done into low, medium and high grade according to Seethala’s classification system, based on cellular atypia, cyst formation and types of cells (Seethala, 2009a). Immunohistochemistry was conducted by using PD-L2 (1:200, clone 175511, monoclonal mouse, cat # MAB 1224, R&D system, USA). PD-L2 expression was evaluated on basis of extent and intensity of immuno-labeling in tumor cell cytoplasm. Total score for each case was calculated by multiplying the proportion score (PS) and intensity score (IS) as shown in table.

STATISTICAL ANALYSIS:
IBM SPSS statistics Version 2 was used to analyse the data. Continuous variable like age was calculated in the form of mean and standered daviation (S.D) while frequncy and percentage were determined for categorical variables like gender, tumor grades, and PD-L2 staining. Bivariate analysis was done to find an association between the variables. Chi square test of independence was applied and p value < 0.05 was taken as significant. Association between gradre of tumor, intensity sccore, proportion score and PD-L2 expression was analysed.
RESULTS:
The mean age was 30.08 + 12.8 years, ranged from 10 to 55 years. There were 14 (58.3%) females and 10(41.7%) males with ratio of M:F=1:1.4. The most common site of involvement was parotid gland 18(75%) followed by submandibular 5 (20.8%) and minor salivary glands 1 (4.2%). Among 24 cases, 10(43.4%) cases were of low grade followed by intermediate 13(56.5%) and high grade 1(4.3%).
(Figure -1)

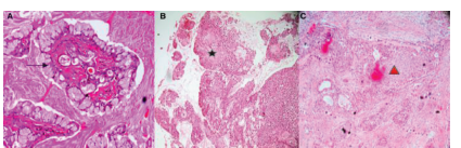
Figure 1: Photomicrograph showing the (A) cystic component with mucous cells (MC)(represented with black arrows) of low grade mucoepidermoid carcinoma on higher magnification(B) Intermediate grade mucoepidermoid carcinoma consisting of both cystic and solid areas (black star) (grade II – both cystic and solid type) (C) High grade tumor of mucoepidermoid carcinoma with solid island predominating over the cystic one having epidermoid cells (triangle)(solid variant) (H&E, 40X H&E,10X).
The most prominent pattern formed by the tumor cells in MEC was intracystic component and mucous cells representing about 54% of all the cases as shown in figure 2.

Regarding immunohistochemical expression of PDL2, strong expression was seen in 12(50%) cases followed by moderate and week expression in 7(29%) and 5(21%) cases respectively. (Figure-3)

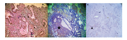
Figure 3: Photomicrograph showing (A) low grade mucoepidermoid carcinoma with strong cytoplasmic expression (black arrow) of immune-marker. (B) Intermediate grade mucoepidermoid carcinoma showing moderate cytoplasmic expression (black star) (grade II – both cystic and solid type).(c) High grade tumor of mucoepidermoid carcinoma (solid variant) with week expression of tumor marker (triangle) (IHC;10X).
Multivariant analysis was performed to determine the association of demographic features and tumor grade with PD-L2expression. Statistically no significant association was found between age, gender, site, PD-L2 expression and tumor grade in patients having MEC as summarized in table 2. However, histological invasion and mitotic activity showed a significant association with tumor grade (P=.012 & P=.009) (Table- 2).

The results showed no significant association of PD-L2 expression with grade of tumor. Ideally, low grade tumor must show low expression and vice versa but there is an exception that low grade cases of MEC were strongly positive for PD-L2 expression and likewise the high-grade tumors were also showing weak expression but not strong one.
DISCUSSION:
Due to heterogeneity or diversity in SGTs, difficulty may arise in diagnosis of such lesions. Adjuvant diagnostic tools along with IHC and molecular testing proved so utile in visualizing the cellular population for upgrading the tumor classification, correct diagnosis of SGTs that contribute to the proper treatment with improved prognosis .10 Advanced treatment modalities are needed to treat these patients and ameliorate the prognosis. Immune checkpoint inhibitors are emerging as potential therapeutic modality for treatment of salivary gland diseases.
Engagement of PD-1 on T cells by either one of its ligands, PD-L1 or PD-L2, leads to inhibition of T cell proliferation. PD-1 interactions with its ligands can inhibit TCR-mediated proliferation and cytokine production in the absence of CD28 receptor signaling. PD-L2 binds to macrophages via repulsive guidance molecule (RGMb) receptors, and some other immune cells to enhance immunity.11 However, their significance in cancer prognosis is still unclear. Studies have documented the expression of PD-L2 in head and neck carcinomas, breast cancer, gastric carcinomas and bladder carcinoma.12-14 owever limited literature is available regarding PD-L2 expression and related significance in SGT.
The means age observed in present study was 30.08±12.80 years in 24 cases of MEC. It was reported that 83.3% patients were below 40 years of age. Similar results regarding the mean age of MEC were also documented by the local studies that found mean age 32.9±14.88 years and 32.35±13 years for MEC.5 A study conducted by AH Nagi and colleagues had documented a higher mean age for MEC5 , which does not correspond with current study.
Rajasekaran and colleagues observed the negative impact of increasing age on grade of tumor.15 But the current study did not show the association of age with grade of tumor. However, all of these studies are hospital or laboratory based and can only give an idea of the probable age distribution of these tumors in local population and studies are needed to establish a real age-related incidence and prevalence of these tumors. Cancer is generally associated with increasing age since aging causes cumulative exposure to carcinogens which damage cells beyond a point where they can no longer repair themselves, resulting in mutations that eventually lead to cancer.16
The current study, showed slight female predominance with ratio of M:F=1:1.4.Another local study reported similar gender distribution in these tumors.2 Females are reported to be more prone to be affected by MEC as compared to males with a ratio of 10:01(17). On multivariate analysis, present study did not show any significant association between gender and grade of tumor. While other study reported significant association of gender with grading.15 The variations in gender distribution among different populations might be due to differences in region, race or culture.1 Galdris and colleagues (2019) conducted a study on different population of Croatia, Nigeria, Iran, USA and China. They reported that SGTs are more common in women as compared to men in all countries except China where males are affected more.19
In current findings, the most prevailing site reported MEC was parotid gland followed by submandibular and minor salivary glands respectively. The studies conducted both nationally and internationally, also documented the similar findings as the parotid gland the most commonly involving site.18 The highest involvement of parotid as compared to other glands is attributed to varying cell types that are present as compared to other salivary glands. Other reasons can be gland size and its proximity to the lymphatics and nerves.3
In the present study, grade I was found to be the most common grade for MEC (intracystic component). A study by Bobati and colleagues reported similar results with maximum cases of grade I MEC graded.20 According to Hussain et al (2017), MEC grade III was more prevalent in their sample, which contradicts our findings.17 The geographical distribution, race, genetic mutation, sample size might be the causes for this contradiction.21 On IHC, the PDL2 expression was calculated by the multiplication of proportion score by the intensity score of tumor cells and 100% of MEC cases stained positive for PD-L2 in current study. A study on 172 cases of renal cell carcinoma, lung carcinoma, gastric carcinoma, melanoma, breast carcinoma reported overexpression of PD-L2 in these tumors.12 Association between tumor grade and PDL-2 has been reported in other head and neck tumors like squamous cell carcinoma with a significant association of PD-L2 with prognosis of disease.22 Another study showed higher expression of PDL2 in malignant salivary gland tumors.23
A study by Nakano et al strongly indicated that PD-L2 expression may be a promising molecular target for PD-L2-inhibiting ICI (i.e., PD-1 antibodies) since it appears to reflect the biological aggressiveness of SGC.24 Moratin and his research team found PD-L2 expression scores to be significantly different in both primary tumors and lymph node metastatic tumor. PD-L2 expression in metastases seems likely as spread of tumors may always result from factors that enhance immune escape of the tumor cells by modifying tumor microenvironment (Moratin et al 2019).
All the MEC tumors studies in the present research were positive for PDL-2 expression with a slight change in intensity from Grade I to Grade III tumors, therefore no distinctions within grades could be made. Further research on larger sample sizes and equal grade distribution needs to be conducted to validate the findings of PDL-2 expression in case of mucoepidermoid carcinoma for finding any distinctions between grades Immunotherapy is the emerging therapeutic field in cancer treatment. Drugs targeting programmed cell death receptor and its ligands are undergoing clinical trials. As preliminary data generated from current research has highlighted the expression of PD-L2 in malignant MEC, therefore, avenues for further research in the field are open for researchers. This can contribute towards designing personalized treatments in the patients suffering from the malignant tumors of salivary glands.
LIMITATIONS:
Malignant salivary gland tumors are reported in low number in tertiary care health centre and therefore large sample size could not be taken in the present study. Also, most of the tumors are from parotid gland representation of all salivary glands could not be made. Therefore, there is a need to conduct these studies on larger sample sizes stratified in terms of tumor grades and patient prognosis.
ACKNOWLEDGEMENT:
The author acknowledge Mr Sameer Anjum and Ghulam Rasool, for their support dunring the execution of this research.
CONFLICT OF INTEREST:
None declared
REFERENCES:
- To VSH, Chan JYW, Tsang RKY, Wei WI. Review of salivary gland neoplasms. ISRN otolaryngology. 2012;2012:872982-. https://doi.org/10.5402/2012/872982
- Hussain S, Naseem N, Nagi AH. Age, gender and site distribution of salivary gland tumours reported at tertiary care hospitalS. Biomedica. 2016;2:160-64
- Gupta S, Ahuja N. Salivary Glands. 2019. https://doi.org/10.5772/intechopen.81213
- Hou P, Su X, Cao W, Xu L, Zhang R, Huang Z, et al. Whole-exome sequencing reveals the etiology of the rare primary hepatic mucoepidermoid carcinoma. Diagnostic Pathology. 2021;16:29. https://doi.org/10.1186/s13000-021-01086-3
- Zaman S, Majid S, Chugtai O, Hussain M, Nasir M. Salivary gland tumours: a review of 91 cases. J Ayub Med Coll Abbottabad. 2014;26:361-3.
- Wang H, Fundakowski C, Khurana JS, Jhala N. Fine-Needle Aspiration Biopsy of Salivary Gland Lesions. Archives of Pathology & Laboratory Medicine. 2015;139:1491-7. https://doi.org/10.5858/arpa.2015-0222-RA
- Shin S-J, Jeon YK, Kim P-J, Cho YM, Koh J, Chung DH, et al. Clinicopathologic analysis of PD-L1 and PD-L2 expression in renal cell carcinoma: association with oncogenic proteins status. Ann Surg Oncol. 2016;23:694-702. https://doi.org/10.1245/s10434-015-4903-7
- . Umezu D, Okada N, Sakoda Y, Adachi K, Ojima T, Yamaue H, et al. Inhibitory functions of PD-L1 and PD-L2 in the regulation of antitumor immunity in murine tumor microenvironment. Cancer immunology, immunotherapy : CII. 2019;68:201-11. https://doi.org/10.1007/s00262-018-2263-4
- Allred D, Harvey JM, Berardo M, Clark GM. Prognostic and predictive factors in breast cancer by immunohistochemical analysis. Modern pathology: An Official J United States and Canadian Academy of Pathology, Inc. 1998;11:155-68.
- . Skálová A, Stenman G, Simpson RH, Hellquist H, Slouka D, Svoboda T, et al. The role of molecular testing in the differential diagnosis of salivary gland carcinomas. Am J Surg Pathol. 2018;42:e11- e27. https://doi.org/10.1097/PAS.0000000000000980
- Xiao Y, Yu S, Zhu B, Bedoret D, Bu X, Francisco LM, et al. RGMb is a novel binding partner for PD-L2 and its engagement with PD-L2 promotes respiratory tolerance. J Exp Med. 2014;211:943-59. https://doi.org/10.1084/jem.20130790
- Yearley JH, Gibson C, Yu N, Moon C, Murphy E, Juco J, et al. PD-L2 expression in human tumors: relevance to anti-PD-1 therapy in cancer. Clin Cancer Res. 2017;23:3158-67. https://doi.org/10.1158/1078-0432.CCR-16-1761
- Zhang X, Xue J, Yang H, Zhou T, Zu G. TNFAIP6 promotes invasion and metastasis of gastric cancer and indicates poor prognosis of patients. Tissue and Cell. 2021;68:101455. https://doi.org/10.1016/j.tice.2020.101455
- Yang Y, Wang X, Bai Y, Feng D, Li A, Tang Y, et al. Programmed death-ligand 2 (PD-L2) expression in bladder cancer. Urologic Oncology: Seminars and Original Investigations. 2020;38:603.e9- .e15. https://doi.org/10.1016/j.urolonc.2020.01.001
- Rajasekaran K, Stubbs V, Chen J, Yalamanchi P, Cannady S, Brant J, et al. Mucoepidermoid carcinoma of the parotid gland: A National Cancer Database study. Am J Otolaryngol. 2018;39:321-6. https://doi.org/10.1016/j.amjoto.2018.03.022
- White MC, Holman DM, Boehm JE, Peipins LA, Grossman M, Henley SJ. Age and cancer risk: a potentially modifiable relationship. Am J Prev Med. 2014;46(3 Suppl 1):S7-S15. https://doi.org/10.1016/j.amepre.2013.10.029
- Fu J-Y, Wu C-X, Shen S-K, Zheng Y, Zhang C-P, Zhang Z-Y. Salivary gland carcinoma in Shanghai (2003-2012): an epidemiological study of incidence, site and pathology. BMC Cancer. 2019;19:350. https://doi.org/10.1186/s12885-019-5564-x
- Hussain S, Naseem N, Siraj MR, Rehman F, Qureshi I-u-D, Rasool G, et al. salivary glands; clinical & histopathological spectrum of adenoid cystic carcinoma & mucoepidermoid carcinomas reported at tertiary care hospitals in Lahore. Professional Medical J. 2017;24. https://doi.org/10.29309/TPMJ/2017.24.11.643
- Galdirs TM, Kappler M, Reich W, Eckert AW. Current aspects of salivary gland tumors-a systematic review of the literature. GMS Interdisciplinary plastic and reconstructive surgery DGPW. 2019;8.
- Bobati SS, Patil BV, Dombale VD. Histopathological study of salivary gland tumors. J Oral Maxillofac Pathol. 2017;21:46-50. https://doi.org/10.4103/0973-029X.203762
- Vasconcelos AC, Nör F, Meurer L, Salvadori G, Souza LBd, Vargas PA, et al. Clinicopathological analysis of salivary gland tumors over a 15-year period. Brazilian Oral Res. 2016;30. https://doi.org/10.1590/1807-3107BOR-2016.vol30.0002
- Weber M, Wehrhan F, Baran C, Agaimy A, Büttner?Herold M, Kesting M, et al. Prognostic significance of PD-L2 expression in patients with oral squamous cell carcinoma-A comparison to the PD-L1expression profile. Cancer medicine. 2019;8:1124-34. https://doi.org/10.1002/cam4.1929
- Chang H, Kim JS, Choi YJ, Cho J-G, Woo J-S, Kim A, et al. Overexpression of PD-L2 is associated with shorter relapse-free survival in patients with malignant salivary gland tumors. Onco Targets Ther. 2017;10:2983. https://doi.org/10.2147/OTT.S134589
- Nakano T, Takizawa K, Uezato A, Taguchi K, Toh S, Masuda M. Prognostic value of programed death ligand-1 and ligand-2 co-expression in salivary gland carcinomas. Oral oncology. 2019;90:30-7. https://doi.org/10.1016/j.oraloncology.2019.01.015
